池州市第二人民医院欢迎您!
加入收藏 | 设为首页
网站首页 医院概况 新闻动态 学科介绍 教学科研 健康宣教 党群工作 信息公开 政策法规 下载中心
新闻动态
院务公开
更多>>
聚焦静脉输液规范管理 共筑患...
【护理门诊】伤口有牵挂 护理...
【喜报】国家三级公立医院绩效...
【喜报】池州市第二人民医院入...
【人文护理⑭】以...
【主题活动】用爱点亮“星”光...
>> 您现在的位置: 首页 >> 新闻动态 >> 我院泌尿外科完成首例经尿道电子输尿管软镜下左肾盂旁囊肿内引流术
我院泌尿外科完成首例经尿道电子输尿管软镜下左肾盂旁囊肿内引流术
作者:池州二院 发布日期:2020/6/8 14:22:22 浏览次数:

打印本页】【关闭窗口】        

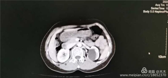
近日,我院泌尿外科吴江河主任带领团队使用一次性电子输尿管软镜,完成首例经输尿管软镜下左肾盂旁囊肿内引流术,完全经自然通道手术,超微创,病人无切口痛苦创伤,恢复快,效果好,患者满意。


患者术前增强CT图片


术中超声科王红副主任医师协助定位与实时监控。



       上一篇:李克强总理出席记者会并回答中外...  下一篇:“七一”前夕区委书记高峰一行看...
地址: 池州市秋浦西路125号 电话:0566-2025800 备案号:皖ICP备12019001号-1
Copyright 2012 All rights reserved 版权所有:池州市第二人民医院 技术支持:博众网络