|
2024年7月3日上午,53岁的张某某突然出现头晕头痛恶心呕吐症状,随后出现意识不清,家属紧急拨打120转运至池州市第二人民医院。
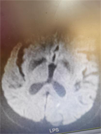
急诊科医师接诊时患者已中度昏迷,鼾式呼吸,小便失禁。立即完善急诊头颅CT提示左侧丘脑及侧脑室旁脑软化灶。头颅MRI提示小脑、两侧枕叶、左侧顶叶急性脑梗死。
患者随即被送入重症医学科(ICU),ICU医生接诊后,立即组织救治并联系神经内科会诊,经迅速评估初步诊断“急性脑梗死,颅内动脉闭塞”,有静脉溶栓指征,且可能需要桥接颅内动脉取栓治疗。
经快速沟通,家属签字同意后,静脉溶栓药物开始使用,同时病情报告给神经内科脑血管介入团队,在保持呼吸道通畅等措施下进行急诊CTA检查,在静脉溶栓药物使用结束时,患者的CTA检查结果出来,证实是急性脑梗死,基底动脉闭塞。与患者家属沟通颅内动脉取栓风险与获益,家属同意手术。

在麻醉科及脑血管介入团队的积极配合下,15:35股动脉穿刺成功,造影发现基底动脉闭塞,经导管抽吸取出血栓一枚,15:56血管再通,复查造影显示基底动脉中下段重度狭窄,后在狭窄段置入血管支架一枚。手术顺利,当晚患者神志转清醒。
7月4日患者转入神经内科普通病房,7月5日即可下地行走,目前患者张某某还在住院接受后续治疗、护理与康复训练。
池州市第二人民医院自建成卒中中心以来,狠抓医疗质量,不断提升医疗服务能力,开展各种新技术,极大的提升了我院急诊急救能力和综合医疗水平。类似患者张某某这类急性脑卒中,仅2024年已经开展静脉溶栓30余例,动脉取栓10余例,挽救了许多患者的生命,也极大地减轻了患者家庭和社会的负担。
|