|
近日,我院心血管内科技术团队又攻破新难题,成功为两名冠状动脉严重钙化患者实施VessCrack冠脉血管内冲击波球囊(IVL)精准治疗,效果满意,预后良好。该技术的成功开展,标志着我院在处理复杂冠脉病变技术方面取得新突破,介入技术再上新台阶,相信在“新利器”助力下,我院将为更多冠心病患者带来福音,成为打开生命通道的救“心”人。


业内有“天不怕、地不怕,就怕血管有钙化”的说法。血管钙化是指钙质物沉积在血管壁的一种病变,病变的血管段较为坚硬,传统介入器械通过难度大,容易引发支架脱落、导丝断裂、支架纵向压缩等并发症,影响治疗效果。
病例回顾
案例一:75岁的李大爷(化名),因胸闷、头昏四天,加重一天入院。
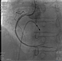
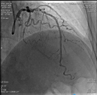
诊断急性下壁心梗,入院时已出现低血压休克症状。行冠状动脉造影提示右冠脉开口完全闭塞,导丝通过及普通球囊扩张后行血管内超声(IVUS)检查,提示近段及中段两次存在严重狭窄伴360°重度钙化,这些包绕血管的钙质就像禁锢在血管腔上的“盔甲”,使用常规球囊无法通过并扩张钙化部位,普通的球囊扩张处理只能是“以卵击石”。心血管内科吴义权副主任医师、孙春根主治医师、夏秋旺主治医师团队经全面评估后,决定给患者使用国内最新的冲击波球囊,采用血管内冲击波治疗。选择一枚3.0mm*12mm冲击波球囊分别送至右冠近段、中段钙化部位,总共发放5组冲击波,冲击波结束后,造影可见钙化部位狭窄明显减轻,经IVUS检查可见钙化环多处断裂,随后由远至近段串联植入3枚支架。整个手术过程中,患者无任何不适症状。
病例回顾
案例二:72岁的吴奶奶(化名),因“再发胸闷、胸痛半小时”入院。
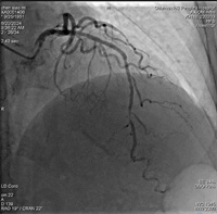
8个月前因心绞痛入院冠脉造影检查,提示前降支中段、远段均有严重狭窄,当时远段病变普通球囊及切割球囊均不能扩张,只予中段病变处植入一枚支架。本次患者胸闷、胸痛考虑犯罪血管为前降支远段病变,IVUS检查可见>270°钙化环,本次直接给患者使用国内最新的冲击波球囊,采用血管内冲击波治疗。选择一枚2.5mm*12mm冲击波球囊分别送至前降支远段钙化部位,总共发放3组冲击波,冲击波结束后,造影可见钙化部位狭窄明显减轻,经IVUS检查可见钙化环多处断裂,随后由远至中段原支架远端串联植入2枚支架。整个手术过程中,患者无任何不适症状。
冠脉血管内冲击波术是一种微创治疗手段,对钙化病变部位进行精确治疗,最大程度保护周围正常组织,同时具有较低的并发症风险。通过冲击波球囊在病变部位产生高能冲击波,有效地震碎钙化斑块,恢复血管的弹性和通畅,最终完美开通血管。
|