|
近日,我院呼吸与危重症医学科内镜介入团队成功完成多例径向超声支气管镜引导下肺活检术(R-EBUS-TBLB)。新技术的顺利开展,不仅降低了患者的诊疗费用,还为患者提供了更高效精准的检查手段,对肺癌的早发现、早治疗具有重要意义。
案例分享
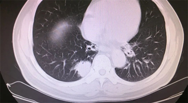
患者吴先生,在我院消化内科住院期间,胸部CT检查发现右下肺结节(直径约2.6cm)。经呼吸与危重症医学科会诊后,于内镜中心及疼痛科大力协助,呼吸内镜团队成功进行无痛超声支气管镜检查并明确病变性质。患者的病灶位于肺外周、靠近脊柱,通过CT发现电子支气管镜无法到达病灶,肺穿刺有肋骨遮挡,为明确诊断,呼吸内镜团队分析讨论后,决定采取内镜超声技术-“R-EBUS-TBLB”(简称“小超”)。术中,经常规支气管镜检查未发现右下肺后基底段管腔内病变,经R-EBUS成功探查到肺外周病灶,撤出超声探头,将活检钳顺利取出4块组织送检,病理提示“低分化腺癌”,为患者下一步治疗提供依据。
径向超声支气管镜引导下肺活检术(R-EBUS-TBLB)
是一种在支气管镜前端安装超声探头的设备,结合活检钳及细胞刷,可对肺周围病变目标使用支气管内超声(EBUS)指导定位,一旦确定目标,则撤出超声探头,保持支气管镜位置固定,进行反复活检(TBLB)。
R-EBUS-TBLB通过自然腔道取得活检标本,改变了肺外周结节大部分需要通过手术或须经CT 引导下经皮肺穿刺获取确诊依据的现状,不仅减少气胸发生率,且创伤较小,对于周围性肺疾病确诊率显著高于传统气管镜诊断,为肺外周结节诊断提供了微创且高效的解决方案,是早期肺癌发现和诊断的重大突破,因此具有微创、安全、诊断率高等特点。
此前,很多患者行胸部CT检查发现病变位置在肺外周,这些部位常规电子支气管镜无法到达,缺乏有效安全的诊断手段,部分患者需进行外科手术切除或CT下经皮肺穿刺,损伤过大,较为痛苦,且风险高。超声小探头引导的肺外周结节活检,突破了传统支气管镜仅能进入较大直径支气管的技术瓶颈,能够到达第六、七级甚至更远端的支气管,直接探及肺外周病灶,进行活检、刷检等多种检查,大大提高了支气管镜的检查范围,是肺癌早期诊断介入技术上的重大突破。其对肺部结节的诊断更为精准,尤其对肺癌的分期、治疗方案、预后具有重要的指导意义。对于肺外周的小结节及团块病灶,R-EBUS是非常好的定性检查手段。该技术还可以帮助胸外科手术医师定位,精确切除病根。


|